Image Gallery
Browse through our 2D example gallery to see Nuclarity at work.
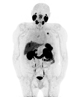
Siemens Biograph 64 Vision 600
PSF+TOF 3i5s
[¹⁸F]FDG
47 kg
Conventional

118 MBq
10 min
Nuclarity®

75%
reduced counts
Siemens Biograph mCT 128
PSF+TOF 2i21s
[¹⁸F]FDG
110 kg
Conventional

373 MBq
18 min
Nuclarity®

75%
reduced counts
GE Omni Legend
HPDL-QCHD
[¹⁸F]FDG
65 kg
Conventional

142,2 MBq
6 min
Nuclarity®

50%
reduced counts
Siemens Biograph mCT 128
PSF+TOF 2i21s
[¹⁸F]FDG
93 kg
Conventional

318 MBq
17 min
Nuclarity®

50%
reduced counts
Siemens Biograph 64 Vision 600
PSF+TOF 3i5s
[⁶⁸Ga]Ga-PSMA
68 kg
Conventional

65,1 MBq
11 min
Nuclarity®

75%
reduced counts
Siemens Biograph mCT 128
PSF+TOF 2i21s
[¹⁸F]FDG
63 kg
Conventional

219 MBq
20 min
Nuclarity®

50%
reduced counts
Siemens Biograph mCT 128
PSF+TOF 2i21s
[¹⁸F]PSMA
58 kg
Conventional

247 MBq
8 min
Nuclarity®

50%
reduced counts
GE Discovery MI
QCFX
[⁶⁸Ga]Ga-PSMA
75 kg
Conventional

156,9 MBq
27 min
Nuclarity®

50%
reduced counts
GE Omni Legend
QCHD
[⁶⁸Ga]Ga-PSMA
90 kg
Conventional

178,8 MBq
12 min
Nuclarity®

50%
reduced counts
GE Discovery 710
QCFX
[¹⁸F]FDG
57 kg
Conventional

113,2 MBq
8 min
Nuclarity®

50%
reduced counts
Siemens Biograph mCT 128
PSF+TOF 2i21s
[¹⁸F]FDG
75 kg
Conventional

257 MBq
18 min
Nuclarity®

50%
reduced counts
Siemens Biograph 64 Vision 600
PSF+TOF 3i5s
[¹⁸F]FDG
87 kg
Conventional

215,3 MBq
10 min
Nuclarity®

75%
reduced counts
GE Discovery MI
QCFX
[¹⁸F]PSMA
92 kg
Conventional

215,2 MBq
27 min
Nuclarity®

50%
reduced counts
Siemens Biograph 64 Vision 600
PSF+TOF 3i5s
[⁶⁸Ga]Ga-PSMA
68 kg
Conventional

66,9 MBq
10 min
Nuclarity®

75%
reduced counts
Siemens Biograph 64 Vision 600
PSF+TOF 3i5s
[⁶⁸Ga]Ga-PSMA
68 kg
Conventional

66,9 MBq
10 min
Nuclarity®

50%
reduced counts
GE Discovery 710
QCFX
[¹⁸F]FDG
70 kg
Conventional

188 MBq
8 min
Nuclarity®

50%
reduced counts
Siemens Biograph 64 Vision 600
PSF+TOF 3i5s
[¹⁸F]FDG
47 kg
Conventional

118 MBq
8 min
Nuclarity®

50%
reduced counts
GE Omni Legend
QCHD
[⁶⁸Ga]Ga-PSMA
64 kg
Conventional

119,3 MBq
12 min
Nuclarity®

50%
reduced counts
GE Omni Legend
HPDL-QCHD
[¹⁸F]FDG
92 kg
Conventional

200,5 MBq
6 min
Nuclarity®

50%
reduced counts
Siemens Biograph 64 Vision 600
PSF+TOF 3i5s
[¹⁸F]FDG
121 kg
Conventional

308,8 MBq
10 min
Nuclarity®

75%
reduced counts
GE Discovery MI
QCFX
[⁶⁸Ga]Ga-PSMA
75 kg
Conventional

156,9 MBq
27 min
Nuclarity®

50%
reduced counts
GE Discovery MI
QCFX
[¹⁸F]PSMA
92 kg
Conventional

215,2 MBq
27 min
Nuclarity®

50%
reduced counts
GE Omni Legend
QCHD
[⁶⁸Ga]Ga-PSMA
90 kg
Conventional

178,8 MBq
12 min
Nuclarity®

50%
reduced counts
GE Omni Legend
QCHD
[⁶⁸Ga]Ga-PSMA
64 kg
Conventional

119,3 MBq
12 min
Nuclarity®

50%
reduced counts
GE Discovery 710
QCFX
[¹⁸F]FDG
57 kg
Conventional

113,2 MBq
8 min
Nuclarity®

50%
reduced counts
GE Discovery 710
QCFX
[¹⁸F]FDG
70 kg
Conventional

188 MBq
8 min
Nuclarity®

50%
reduced counts
GE Omni Legend
HPDL-QCHD
[¹⁸F]FDG
65 kg
Conventional

142,2 MBq
6 min
Nuclarity®

50%
reduced counts
GE Omni Legend
HPDL-QCHD
[¹⁸F]FDG
92 kg
Conventional

200,5 MBq
6 min
Nuclarity®

50%
reduced counts
Siemens Biograph 64 Vision 600
PSF+TOF 3i5s
[⁶⁸Ga]Ga-PSMA
68 kg
Conventional

66,9 MBq
10 min
Nuclarity®

75%
reduced counts
Siemens Biograph 64 Vision 600
PSF+TOF 3i5s
[⁶⁸Ga]Ga-PSMA
68 kg
Conventional

65,1 MBq
11 min
Nuclarity®

75%
reduced counts
Siemens Biograph 64 Vision 600
PSF+TOF 3i5s
[¹⁸F]FDG
87 kg
Conventional

215,3 MBq
10 min
Nuclarity®

75%
reduced counts
Siemens Biograph 64 Vision 600
PSF+TOF 3i5s
[¹⁸F]FDG
47 kg
Conventional

118 MBq
10 min
Nuclarity®

75%
reduced counts
Siemens Biograph 64 Vision 600
PSF+TOF 3i5s
[¹⁸F]FDG
121 kg
Conventional

308,8 MBq
10 min
Nuclarity®

75%
reduced counts
Siemens Biograph mCT 128
PSF+TOF 2i21s
[¹⁸F]FDG
110 kg
Conventional

373 MBq
18 min
Nuclarity®

75%
reduced counts
Siemens Biograph mCT 128
PSF+TOF 2i21s
[¹⁸F]PSMA
58 kg
Conventional

247 MBq
8 min
Nuclarity®

50%
reduced counts
Siemens Biograph 64 Vision 600
PSF+TOF 3i5s
[⁶⁸Ga]Ga-PSMA
68 kg
Conventional

66,9 MBq
10 min
Nuclarity®

50%
reduced counts
Siemens Biograph 64 Vision 600
PSF+TOF 3i5s
[¹⁸F]FDG
47 kg
Conventional

118 MBq
8 min
Nuclarity®

50%
reduced counts
Siemens Biograph mCT 128
PSF+TOF 2i21s
[¹⁸F]FDG
93 kg
Conventional

318 MBq
17 min
Nuclarity®

50%
reduced counts
Siemens Biograph mCT 128
PSF+TOF 2i21s
[¹⁸F]FDG
63 kg
Conventional

219 MBq
20 min
Nuclarity®

50%
reduced counts
Siemens Biograph mCT 128
PSF+TOF 2i21s
[¹⁸F]FDG
75 kg
Conventional

257 MBq
18 min
Nuclarity®

50%
reduced counts
Siemens Biograph 64 Vision 600
PSF+TOF 3i5s
[¹⁸F]FDG
87 kg
Conventional

215,3 MBq
10 min
Nuclarity®

75%
reduced counts
Siemens Biograph 64 Vision 600
PSF+TOF 3i5s
[¹⁸F]FDG
47 kg
Conventional

118 MBq
10 min
Nuclarity®

75%
reduced counts
Siemens Biograph 64 Vision 600
PSF+TOF 3i5s
[¹⁸F]FDG
121 kg
Conventional

308,8 MBq
10 min
Nuclarity®

75%
reduced counts
Siemens Biograph mCT 128
PSF+TOF 2i21s
[¹⁸F]FDG
110 kg
Conventional

373 MBq
18 min
Nuclarity®

75%
reduced counts
GE Discovery 710
QCFX
[¹⁸F]FDG
57 kg
Conventional

113,2 MBq
8 min
Nuclarity®

50%
reduced counts
Siemens Biograph 64 Vision 600
PSF+TOF 3i5s
[¹⁸F]FDG
47 kg
Conventional

118 MBq
8 min
Nuclarity®

50%
reduced counts
GE Discovery 710
QCFX
[¹⁸F]FDG
70 kg
Conventional

188 MBq
8 min
Nuclarity®

50%
reduced counts
Siemens Biograph mCT 128
PSF+TOF 2i21s
[¹⁸F]FDG
93 kg
Conventional

318 MBq
17 min
Nuclarity®

50%
reduced counts
Siemens Biograph mCT 128
PSF+TOF 2i21s
[¹⁸F]FDG
63 kg
Conventional

219 MBq
20 min
Nuclarity®

50%
reduced counts
Siemens Biograph mCT 128
PSF+TOF 2i21s
[¹⁸F]FDG
75 kg
Conventional

257 MBq
18 min
Nuclarity®

50%
reduced counts
GE Omni Legend
HPDL-QCHD
[¹⁸F]FDG
65 kg
Conventional

142,2 MBq
6 min
Nuclarity®

50%
reduced counts
GE Omni Legend
HPDL-QCHD
[¹⁸F]FDG
92 kg
Conventional

200,5 MBq
6 min
Nuclarity®

50%
reduced counts
Siemens Biograph 64 Vision 600
PSF+TOF 3i5s
[⁶⁸Ga]Ga-PSMA
68 kg
Conventional

66,9 MBq
10 min
Nuclarity®

75%
reduced counts
Siemens Biograph 64 Vision 600
PSF+TOF 3i5s
[⁶⁸Ga]Ga-PSMA
68 kg
Conventional

65,1 MBq
11 min
Nuclarity®

75%
reduced counts
Siemens Biograph 64 Vision 600
PSF+TOF 3i5s
[⁶⁸Ga]Ga-PSMA
68 kg
Conventional

66,9 MBq
10 min
Nuclarity®

50%
reduced counts
GE Discovery MI
QCFX
[⁶⁸Ga]Ga-PSMA
75 kg
Conventional

156,9 MBq
27 min
Nuclarity®

50%
reduced counts
GE Omni Legend
QCHD
[⁶⁸Ga]Ga-PSMA
90 kg
Conventional

178,8 MBq
12 min
Nuclarity®

50%
reduced counts
GE Omni Legend
QCHD
[⁶⁸Ga]Ga-PSMA
64 kg
Conventional

119,3 MBq
12 min
Nuclarity®

50%
reduced counts
Siemens Biograph mCT 128
PSF+TOF 2i21s
[¹⁸F]PSMA
58 kg
Conventional

247 MBq
8 min
Nuclarity®

50%
reduced counts
GE Discovery MI
QCFX
[¹⁸F]PSMA
92 kg
Conventional

215,2 MBq
27 min
Nuclarity®

50%
reduced counts